When Lucas was diagnosed with a rare type of brain tumor at the age of six, there was no doubting the prognosis.
French doctor Jacques Grill gets emotional when he remembers having to tell Lucas's parents that their son was going to die.
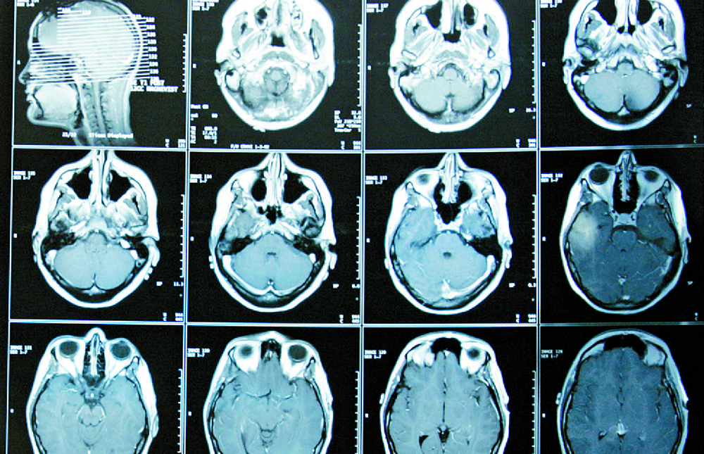
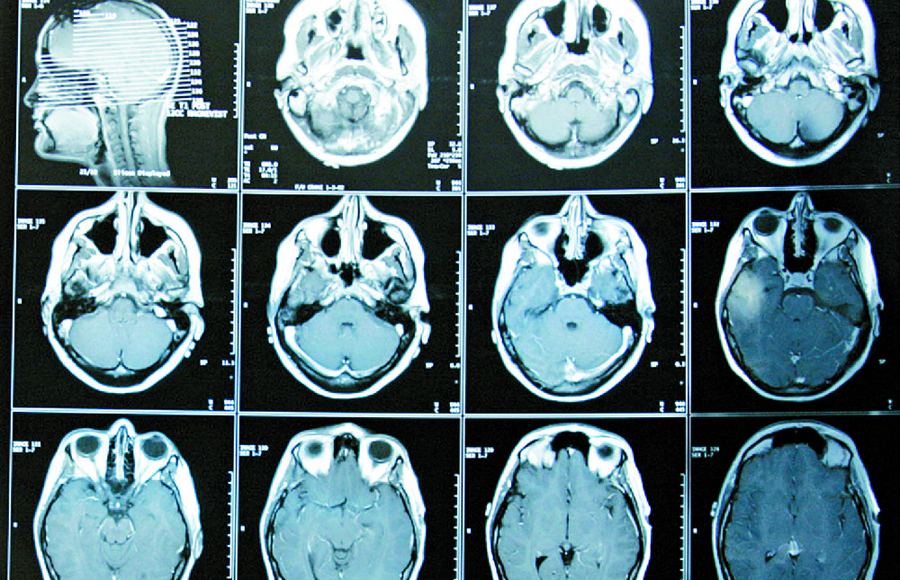
However, seven years later, Lucas is now 13 years old and there is no trace of the tumor left.
The Belgian boy is the first child in the world to have been cured of brainstem glioma - a particularly brutal cancer, according to the researchers who treated him.
"Lucas beat all the odds" to survive, said Grill, head of the brain tumor program at the Gustave Roussy cancer center in Paris.
The tumor, which has the full name diffuse intrinsic pontine glioma, is diagnosed every year in around 300 children in the United States, and up to 100 in France.
The medical community has praised advances that mean 85 percent of children now survive more than five years after being diagnosed with cancer.
But the outlook for children with the DIPG tumor remains grim - most do not live a year beyond diagnosis. A recent study found that only 10 percent were alive two years on.
Radiotherapy can sometimes slow the rapid march of the aggressive tumor, but no drug has been shown to be effective against it.
Lucas and his family traveled from Belgium to France so that he could become one of the first patients to join the Biomede trial which tests potential new drugs for DIPG.
From the start, Lucas responded strongly to the cancer drug everolimus, which he was randomly assigned.
"Over a series of MRI scans, I watched as the tumor completely disappeared," Grill said.
But the doctor did not dare stop the treatment regimen - at least until a year and a half ago, when Lucas revealed he was no longer taking the drugs anyways.
"I don't know of any other case like him in the world," Grill said.
Exactly why Lucas so fully recovered, and how his case could help other children like him in the future, remains to be seen.
Seven other children in the trial survived years after being diagnosed, but only Lucas's tumor completely vanished.
The reason these children responded to the drugs, while others did not, was likely due to the "biological particularities" of their individual tumors, Grill said.
"Lucas's tumor had an extremely rare mutation which we believe made its cells far more sensitive to the drug," he added.
The researchers are studying the genetic abnormalities of patients' tumors as well as creating tumor "organoids," which are masses of cells produced in the lab.
"Lucas's case offers real hope," said Marie-Anne Debily, a researcher supervising the lab work.
"We will try to reproduce in vitro the differences that we have identified in his cells," she said.
The team want to reproduce his genetic differences in the organoids to see if the tumor can then be killed off as effectively as it was in Lucas.
If that works, the "next step will be to find a drug that has the same effect on tumor cells as these cellular changes," Debily said.
While the researchers are excited about this new lead, they warned that any possible treatment is still a long way off.
"On average, it takes 10-15 years from the first lead to become a drug - it's a long and drawn-out process," Grill said.
David Ziegler, a pediatric oncologist at Sydney Children's Hospital in Australia, said that the landscape for DIPG has dramatically changed over the last decade.
Breakthroughs in the lab, increased funding and trials such as Biomede make "me convinced that we will soon find that we are able to cure some patients," Ziegler said.
A scan of a brain that no longer shows any sign of cancer after undergoing treatment. AP