Read More
Morning Recap - April 10, 2026
1 hour ago
Discovery Bay egg hunt cancellation sparks 16 complaints, $8,000 in losses
08-04-2026 17:30 HKT




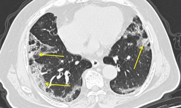
Microbiologists from the University of Hong Kong have carried out groundbreaking research comparing how the new coronavirus and the Sars virus act in human lungs, and come to the conclusion that the new virus will disrupt life in the the city for months, RTHK reports.
The team, led by Yuen Kwok-yung and Jasper Chan, obtained samples of living lung tissue from six donors, which they then infected with the two viruses. They said the new coronavirus was able to replicate fast without triggering a strong immune response.
“We have seen that [Covid-19] acts like a ninja, it can evade the detection of the body without triggering a very strong reaction, like inflammation, in the body, so it can replicate to a very high level,” Chan said.
He said the findings also justified the use by doctors in Hong Kong of a type of drug called an interferon as part of a cocktail of medication for the most seriously ill patients. Interferons are used to stimulate the body's immune system.
Yuen said the findings suggested that Hong Kong would not be able to return to any sort of normality before July at the earliest.
"Even if the epidemic dies down a little bit during summer, with such a low ... immunity, the virus will still continue to spread. Then we will talk about, by September, are we going to reopen the schools?" Yuen said.
"Now I think the answer probably is that we try to increase our testing capacity, make sure that you're really not carrying the virus, you continue to wear the mask, you continue to have very good hand hygiene, you have an infection control supervisor in every office of classroom to make sure these are done properly, to allow society to continue."
However Yuen added: “We have been protecting our hospital services very well … after this stage in time we still do not have a clear case of a healthcare worker being infected, I think that’s a very important achievement.
“That’s why many people say that Hong Kong is probable one of the safest part in the world and we are very proud to see that hope that it could continue.”-Photo: AP

